Lo Studio
Scopri i nostri ambienti accoglienti e moderni, progettati per offrirti comfort e serenità ad ogni visita.
Odontoiatria
Scopri i servizi dedicati agli adulti, dalle visite di controllo a trattamenti estetici e cure avanzate.
Trova il nostro studio facilmente grazie a indicazioni chiare e percorsi aggiornati.
Tutti i metodi di pagamento disponibili per rendere le tue visite semplici, veloci e sicure.
Guarda i nostri video e tutorial per capire meglio trattamenti e consigli utili per la tua salute.
L’odontoiatria conservativa si occupa del trattamento dei denti affetti da carie o danneggiati a seguito di traumi. Il suo principio cardine è l’adesione, un processo che ha rivoluzionato l’approccio terapeutico in odontoiatria negli ultimi decenni. Grazie ai progressi nei materiali e nelle tecniche adesive, oggi è possibile restaurare anche denti severamente compromessi con soluzioni che combinano alta resistenza e ottime caratteristiche estetiche, garantendo risultati duraturi nel tempo.
Il successo di un trattamento conservativo dipende in modo determinante dalla competenza dell’operatore e dalla precisione nell’esecuzione. Nonostante i continui avanzamenti, infatti, i trattamenti mal eseguiti sono ancora un problema in molti casi. La conservativa è una parte essenziale della pratica odontoiatrica quotidiana e richiede il massimo impegno e attenzione per assicurare risultati sicuri, funzionali ed esteticamente soddisfacenti.
01
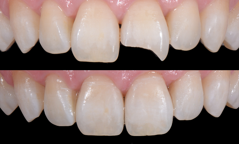
I restauri bio-estetici anteriori sono trattamenti mirati a restituire armonia e naturalezza al sorriso. Attraverso l’utilizzo di materiali innovativi e biocompatibili, come le resine composite, è possibile ricreare fedelmente colore, forma e trasparenze dei denti naturali.
Grazie ai principi dell’odontoiatria biomimetica, questi restauri non si limitano a migliorare l’estetica, ma rispettano anche la funzionalità e la salute del dente, garantendo un risultato duraturo e perfettamente integrato.

01
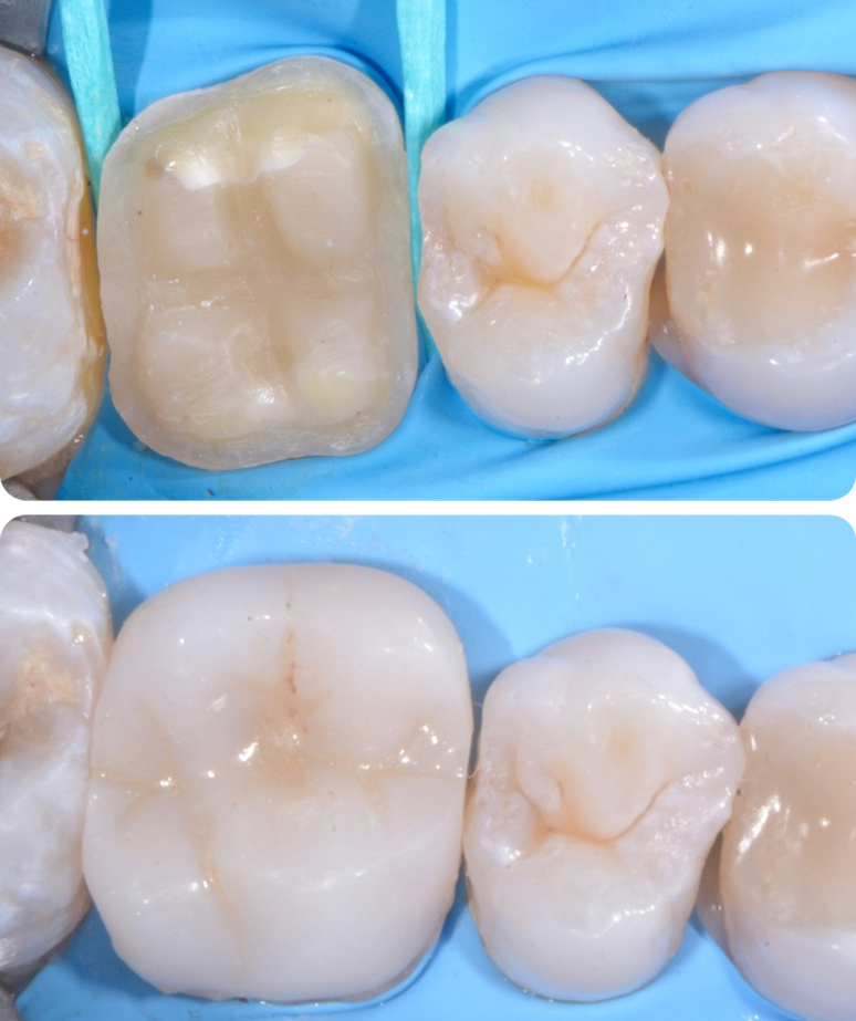
Oggi, l’odontoiatria conservativa comprende anche restauri complessi, in grado di ricostruire fino al 90% della struttura dentale compromessa. Con gli sviluppi delle tecniche e dei materiali, stiamo progressivamente riducendo l’uso delle corone protesiche, sostituendole con soluzioni più conservatrici, come ad esempio gli intarsi. Questi approcci, meno invasivi, offrono vantaggi sia estetici che funzionali, garantendo nel tempo risultati più duraturi e naturali.
L’utilizzo di intarsi rappresenta un esempio di odontoiatria di eccellenza, dove l’attenzione alla preservazione del dente naturale e la ricerca di soluzioni altamente performanti sono al centro di ogni trattamento. Queste tecniche, grazie alla loro precisione e alla qualità dei materiali, permettono di ottenere risultati estetici superiori, mantenendo nel contempo una durata e una resistenza ottimali.

01
Le white spot sono lesioni dello smalto che si manifestano come macchie bianche opache, dovute a processi di demineralizzazione. Possono essere associate a scarsa igiene orale, eccesso di fluoro, traumi, bruxismo o all’uso di apparecchi ortodontici. La prevenzione richiede igiene accurata, dieta equilibrata, fluoroprofilassi e controlli periodici. I trattamenti spaziano dalla remineralizzazione alla microabrasione, fino a resine infiltranti come ICON o, nei casi più complessi, faccette dentali per un risultato estetico ottimale.

Non rimandare la tua salute dentale. Prenota un appuntamento con il nostro studio e scopri cure efficaci, rapide e personalizzate per ogni esigenza, in un ambiente moderno e accogliente.